Prof Elizabeth Hartland

Director
Hudson Institute of Medical Research

elizabeth.hartland@hudson.org.au

Research Activities

Many bacterial pathogens have acquired the capacity to attach to and/or replicate inside human cells by avoiding cell intrinsic innate immune pathways. The subversion of host cell signaling by pathogens frequently depends on the ability to transport virulence proteins, called effector proteins, into the infected cell via specialised protein secretion systems. We work on a range of virulence effectors from pathogenic bacteria that interfere with host innate immune signalling pathways and block inflammation and cell death. In this way effector proteins can be used as tools to understand the innate responses important for control of the pathogen. Our long term goal is to uncover new host processes and structures that are targeted by bacteria during infection leading to the design and development of novel anti-infective agents to treat a range of infectious diseases.

Techniques/Expertise

Genetic manipulation of bacterial pathogens
In vivo models of infection
Protein-protein interactions
Host-pathogen imaging
Innate immune signalling
Effector protein biochemistry

Collaborations

John Silke, WEHI
Andreas Strasser, WEHI
Gad Frankel, Imperial College London
Professor Ian van Driel, University of Melbourne
Professor Carmen Buchrieser, Institute Pasteur

Disease Models

Mouse model of Legionnaire's disease
Mouse models of gastrointestinal infection 

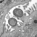
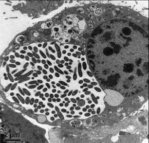
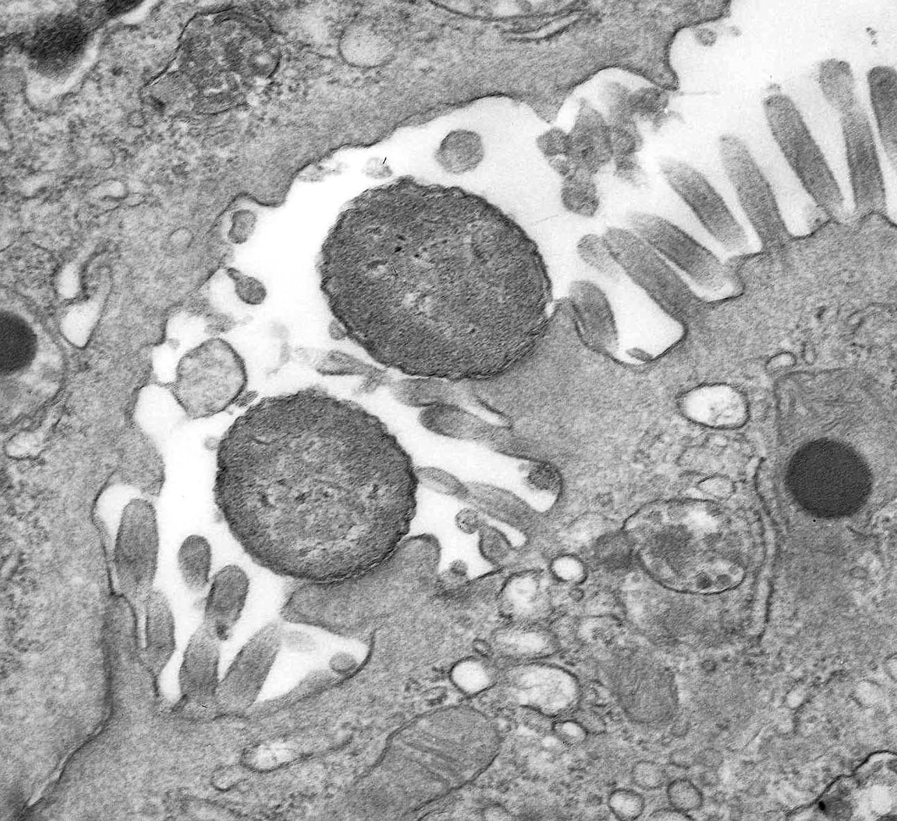
Research Images

Other members with similar research interests

prev next

Prof Jason Mackenzie

Department of Microbiology and Immunology University of Melbourne SEE FULL PROFILE >

Miss Qingqing Fan

Centre for Innate Immunity and Infectious Diseases Hudson Institute of Medical Research SEE FULL PROFILE >

Prof Ross Coppel

Faculty of Medicine, Nursing and Health Sciences Monash University SEE FULL PROFILE >