A/Prof Eric Hanssen

Manager
Bio21 Molecular Science and Biotechnology Institute
University of Melbourne

ehanssen@unimelb.edu.au

Research Activities

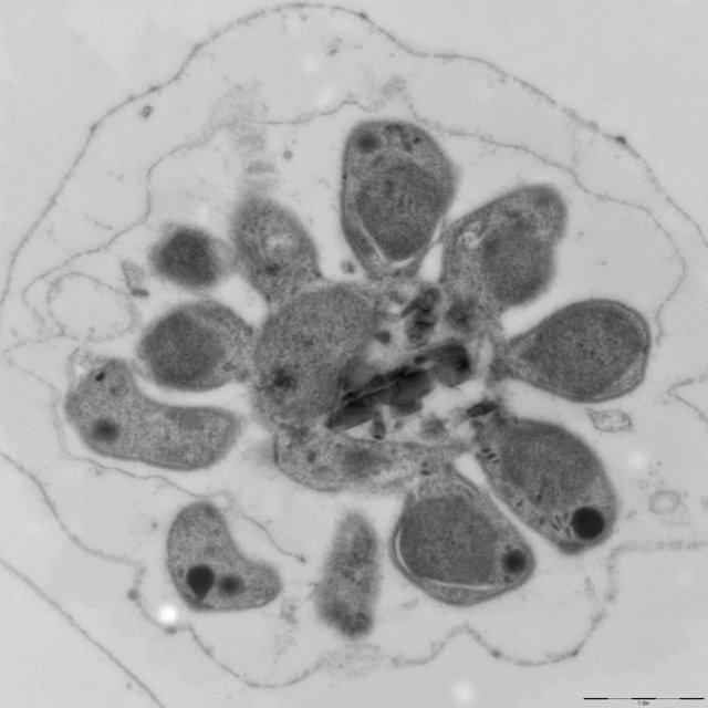
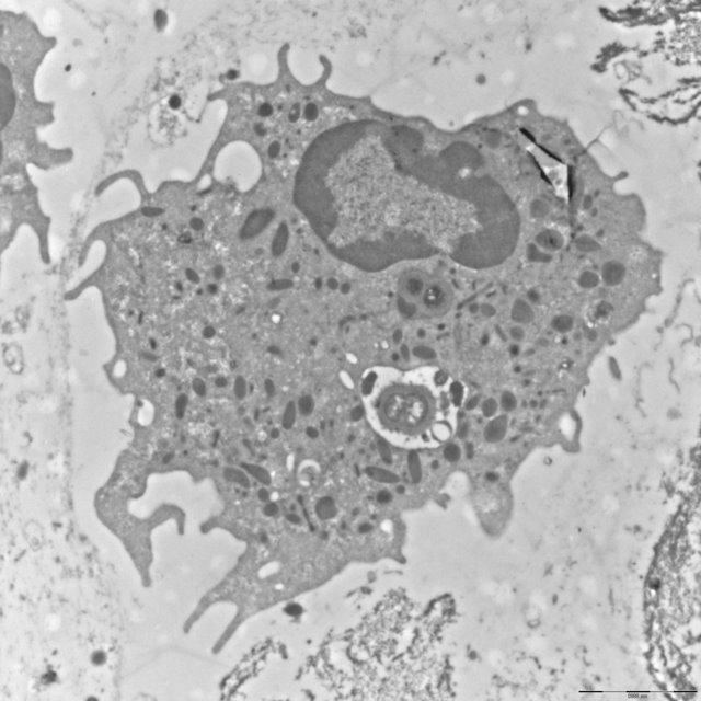
Electron and cryoelectron microscopy/tomography

Techniques/Expertise

Electron microscopy and immuno-electron microscopy
Cryo EM
Tomography

Collaborations

Prof. Geoff McFadden (Univeristy of Melbourne)
Prof. Leann Tilley (Univeristy of Melbourne)
Prof. Alan Cowman (WEHI)
Prof. Mary Galinsky (Emory Univeristy, USA)
Prof. Carolyn Larabell (Lawrence Berkeley National Laboratory (USA)
Prof Brian Cooke

Research Images

Other members with similar research interests

prev next

Dr Alex Kennedy

Infection and Immunity Division Walter and Eliza Hall Institute of Medical Research SEE FULL PROFILE >

Dr Alyssa Barry

Infection and Immunity Division Walter and Eliza Hall Institute of Medical Research SEE FULL PROFILE >

Dr Mitchell Batty

Microbiology Monash University SEE FULL PROFILE >