Dr Diana Hansen

Group Leader
Infection and Immunity Division
Walter and Eliza Hall Institute of Medical Research

hansen@wehi.edu.au

Research Activities

Malaria Immunology with a specific focus on:
  • Role of chemokines in the induction of pathogenesis and immunity to Plasmodium parasites
  • Role of Natural Killer cells and Natural Killer Complex receptors in the control of malarial immunopathogenesis

Techniques/Expertise

Proliferation assays
Cytokine/chemokine responses
Flow cytometry
Histology/Immunohistochemistry
Confocal microscopy
Chemotaxis assays
Leukocyte-endothelium interactions
Malaria culture

Collaborations

A/Prof Michael Hickey
Prof Bill Heath
Dr Christian Engwerda
Dr Anthony Scalzo
Prof Georges Grau

Disease Models

Murine model of severe malaria

Genetically Modified Organisms

CXCL10-/- CD1d-/-

Other Lab Members

Catherine Nie (PhD Student)
Victoria Ryg-Cornejo (Honours Student)
Lewis Murray (Honours Student)

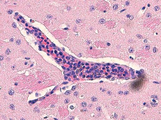
Research Images

Other members with similar research interests

prev next

A/Prof Wai-Hong Tham

Infection and Immunity Division Walter and Eliza Hall Institute of Medical Research SEE FULL PROFILE >

A/Prof Anna Roujeinikova

Department of Microbiology Monash University SEE FULL PROFILE >

Prof Bill Charman

Faculty of Pharmacy and Pharmaceutical Sciences Monash University SEE FULL PROFILE >